Operativne tehnike: Spigelijeva kila Datum objave: 12.10.2010

Pišeta: Jurij Gorajnc, Franc Kozar
Oddelek za splošno in abdominalno kirurgijo, Splošna bolnišnica Slovenj Gradec
Prikaz primera/Case report
SPIGELIJEVA KILA €“ PRIKAZ DVEH PRIMEROV
SPIGELIAN HERNIA €“ 2 CASE REPORTS
Ključne besede
Spigelijeva kila; trebušne kile; vkleščenje
Izvleček
Izhodišča
Spigelijeva kila (SH) je redka oblika trebušnih kil, ki nastane v področju Spigelijeve fascije. Zaradi nizke incidence se večkrat prezre in se obravnava kot »navadna« ventralna kila. V več kot tretjini primerov se pokaže z vkleščenjem, zato je pomembno, da na podlagi kliničnega pregleda nanjo pomislimo in po potrditvi čimprej operiramo.
Bolniki in metode
Prikazana sta primera dveh bolnikov: 69-letnega bolnika s tipljivo SH, ki je bila potrjena z operacijo. Drugi bolnik (41-letni moški) je bil sprejet in operiran z diagnozo akutnega abdomna. Pri operaciji se je izkazalo, da gre za vkleščeno SH levo, ki predoperativno ni bila opazna.
Zaključki
Kirurg mora biti seznanjen z anatomijo predela, kjer nastane Spigelijeva kila. Zaradi pogostosti vkleščenja je SH potrebno pravočasno prepoznati in operirati.
Key words
Spigelian hernia; ventral hernias; incarceration
Abstract
Background
Spigelian hernia (SH) is a rare ventral hernia which is found in the region of Spigelian fascia. Incidence is low, so it is often overlooked and defined as »normal« ventral hernia. Incarceration is found in more that one third of all cases. This indicates the importance of clinical examination and confirmation which is followed by early operation. Patients and We present two case reports. The first patient was a 69-years old male with palpable SH that methods was confirmed during surgery. The second patient, 41-years old male, was admitted to hospital and urgently operated because of acute abdomen. Operation revealed incarceration of small bowell in SH. Hernia was clinically not evident prior to surgery.
Conclusions
Surgeon should be familiar with the anatomy of SH. Due to high incidence of incarceration
SH should be diagnosed and treated without delay.
Uvod
Spigelijeva kila (SH) je redka vrsta trebušne (ventralne) kile, ki nastane ob lateralnem robu preme trebušne mišice (musculus rectus abdominis). Najpogosteje nastane pod ravnjo polkrožne (Spigelijeve, semilunarne) črte (anat.: linea arcuata inferior) v področju istoimenske fascije, kjer je ta najtanjša in potek njenih viter vzporeden (Sl. 1). Imenuje se po nizozemskem anatomu in kirurgu Adriaanu van der Spieghelu (1578€“1625), ki je pravilno ugotovil, da je trebušna
stena pod polkrožno črto sestavljena iz dveh plasti manj kot nad črto, kar verjetno prispeva k temu, da je to eno šibkejših mest trebušne stene (1).
Analiza operiranih kil trebušne stene v naši bolnišnici za leti 2003 in 2004 pokaže, da je razen dimeljskih med ventralnimi kilami največ pooperativnih kil (4€“8 % vseh kil), sledijo epigastrične kile (6 %) ter le 1 % (3 v letu 2004) tistih ventralnih kil, ki niso epigastrične. Med njimi smo našli 2 primera, ki ju je operater prepoznal kot SH, ena od njih je bila operirana urgentno zaradi vkleščenega tankega črevesa. V slovenskem prostoru strokovni prispevek o SH še ni bil objavljen.
Sl. 2. Desnostranska Spigelijeva kila.
Figure 2. Rightsided Spigelian hernia.
Sl. 3. Anatomija desnostranske Spigelijeve kile. 1 €“ kilna vreča, 2 €“ desna prema trebušna mišica (musculus rectus abdominis dexter), 3 €“ desna zunanja poševna trebušna mišica (musculus obliquus externus abdominis dexter).
Figure 3. Anatomy of right-sidedSpigelian hernia. 1 €“ hernia sac, 2 €“ righsided rectus abdominis muscle, 3 €“ rightsided obliquus externus abdominis muscle.
Sl. 1. Pogled na trebušno steno od zadaj €“ Spigelijeva fascija (lateralno od preme trebušne mišice)je šibka točka sprednje trebušne stene.
Figure 1. Posterior view of abdominal wall €“ Spigelian fascia (laterally to rectus abdominis muscle) is a weak point of the anterior abdominal wall.
69-letni moški je v stoječem položaju približno dve leti opažal dva centimetra veliko kilo, ki se je postopno večala in ga pričela ovirati pri vsakdanjih opravilih (Sl. 2). Prej so mu odstranili slepič, zato smo najprej pomislili na pooperativno kilo, ki pa je po apendektomiji redka (0,12 %) (2). Zaradi klinično očitne kile slikovnih diagnostičnih preiskav nismo opravljali. Pri operaciji smo ugotovili defekt trebušne stene z razmaknjenimi vitrami fascije v področju Spigelijeve polkrožne črte. Mesto je bilo nekaj centimetrov bolj medialno od brazgotine po apendektomiji, zato smo z gotovostjo izključili pojav pooperativne kile. V defektu trebušne stene je bila najdena kilna vreča, v kateri je bilo preperitonealno maščevje (Sl. 3). Po repoziciji kile v trebušno votlino smo naredili hernioplastiko s polipropilensko mrežico, ki smo jo vstavili preperitonealno in pritrdili s posameznimi šivi. Preko mrežice smo zašili duplikaturo fascije zunanje poševne trebušne mišice (musculus obliquus externus abdominis). Razen manjšega podkožnega hematoma, ki se je resorbiral spontano, je bil pooperativni potek gladek.
Sl. 3. Anatomija desnostranske Spigelijeve kile. 1 €“ kilna vreča, 2 €“ desna prema trebušna mišica (musculus rectus abdominis dexter), 3 €“ desna zunanja poševna trebušna mišica (musculus obliquus externus abdominis dexter).
Figure 3. Anatomy of right-sidedSpigelian hernia. 1 €“ hernia sac, 2 €“ righsided rectus abdominis muscle, 3 €“ rightsided obliquus externus abdominis muscle.
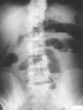
41-letni moški je bil sprejet na naš oddelek z razvijajočo se sliko ileusa tankega črevesa. V preteklosti je že bil operiran zaradi levostranske dimeljske kile, imel pa je tudi reponibilno desnostransko dimeljsko kilo ter čakal na operacijo. SH levo predoperativno ni bila klinično izražena, zato nanjo nismo pomislili. Rentgenska slika abdomna stoje na prazno je potrdila ileus tankega črevesa (Sl. 4), ki ga s konzervativnimi ukrepi nismo uspeli razrešiti, zato je bil urgentno operiran. Pri operaciji smo našli v levostransko SH vkleščeno tanko črevo. Narejena je bila dezinkarceracija vijuge ter notranja evakuacija črevesne vsebine. Vijuga ni bila vitalno ogrožena. V pooperativnem poteku je prišlo do paralitičnega ileusa, ob konzervativnih ukrepih se je peristaltika po petih dneh vzpostavila.
Razpravljanje
SH se pojavlja pri manj kot 0,5 % vseh kil (4). Deloma prispeva k temu tudi dejstvo, da je redko prepoznana in imenovana. Predoperativna diagnoza je pravilno postavljena le pri 50 % bolnikov (3). Večkrat, še posebej, če je velika, jo lahko opredelimo kot »navadno« ventralno kilo. Pogostejša je pri debelih ljudeh. Dva-krat pogostejša je pri ženskah ter po operacijah trebušne stene, pri čemer naj bi brazgotinjenje v bližini Spigelijeve fascije povzročilo njeno tenzijo in oslabitev tega mesta (3, 4). V več kot 75 % primerov se pojavlja v starosti nad 50 let. O primarnih vzrokih nastanka je več teorij. Na kratko jih predstavlja Razpredelnica 1 (4).
Če je SH majhna, povzroča le bolečino (najpogosteje zaradi draženja sprednjih kožnih živčnih vej korenin Th10€“Th12). Na podlagi kliničnega pregleda jo lahko spregledamo ali zamenjamo za vnetno dogajanje v trebuhu (5, 6). Potrdi jo šele slikovna diagnostika (UZ, CT), ki pogosto pokaže intraparietalno kilo €“ okvaro v steni pod intaktno fascijo zunanje poševne trebušne mišice. Če popusti tudi slednja, se kila klinično izrazi. Poveča se lahko daleč v lateralno smer, kar prav tako zakrije osnovni vzrok in izvorno mesto SH (7). V visokem odstotku (do 40 %) se SH izrazi akutno kot vkleščena kila (8, 9).
Opisani so tudi primeri jatrogeno povzročene SH zaradi operacij, pri čemer lahko občutljivo mesto Spigelijeve fascije poškodujemo z laparoskopskimi troakarji ali dreni, ki jih izpeljemo iz trebušne votline (4). Zdravljenje SH je kirurško. Pri vkleščenju črevesa je potrebna dezinkarceracija, po potrebi tudi resekcija črevesa. Pri manjših kilah so opisani dobri rezultati klasičnih napetostnih operacij s šivi, pri večjih kilah pa je smiselna nenapetostna hernioplastika z mrežico preperitonealno (4, 10, 11). Možna je tudi laparoskopska tehnika, ki se ne razlikuje od laparoskopske tehnike pri ostalih ventralnih kilah (12, 13).
Zaključki
Čeprav je SH redka, je pomembno, da poznamo anatomijo in lokacijo mesta, kjer se lahko pojavi. Nanjo moramo pomisliti ob bolečnosti na tipičnem mestu, čeprav defekta ali kile še ne vidimo. Če se izrazi, jo je potrebno operirati, preden pride do najpogostejšega zapleta €“ vkleščenja.
Razpr. 1. Etiologija Spigelijeve kile.
Table 1. Ethiology of Spigelian hernia.
|
Teorija Theory |
Avtor Author |
Vsebina Contents |
Komentar Commentary |
|
|
|||
| Živčno-žilna | Cooper | Popuščanje se začne na mestih, kjer epigastrično žilje prebada Spigelijevo fascijo. | Redko so v bližini kile najdene živčno-žilne strukture, zato teorija ni idealna. |
| Neurovascular | Cooper | Weakness point is epigastric vessels-perforation-site of Spigelian fascia hernia | Rarely vascular elements are found close to Spigelian fascia hernia, so the theory is inadequate |
|
|
|||
| Mišično-fascialna | Zimmerman | Vzdolžni potek vlaken fascije pod Spigelijevo črto povzroči v 6% majhne odprtine v fasciji, ki ih infiltrira preperitonealno maščevje in jih ob napenjanju razmika. |
Danes najbolj sprejeta teorija. povzroči v 6 % majhne odprtine v fasciji, ki jih infiltrira preperitonealno maščevje in jih ob napenjanju razmika. |
| Musculo-fascial | Zimmerman |
Longitudinal position of fibres in Spi gelian fascia causes small openings that lead to herniation |
Widely accepted theory today |
|
|
|||
| Embrionalna | Polkrožna črta je stičišče medialnega mezoderma (prema trebušna mišica) in prsnih ter ledvenih miotomov (poševnih trebušnih mišic) ter zato mesto slabše odpornosti. | Dopolnjuje mišično-fascialno teorijo. | |
| Embrional | Semilunar line connects a medial mesoderm and lumbar miotomes | Additionally explains musculo-fascial theory. | |
|
|
|||
| Watsonova | Watson in Iason | Šibka točka je celotno področje stika Douglasove črte in polkrožne črte. | Razloži nastanek kile na več mestih Spigelijeve fascije. |
| Watson theory | Watson and Iason | Weakness point is a total length of connection between Douglas line and semilunar line | Explains herniation at different sites of Spigelian fascia. |
Copyright 2010 ©Herniološko združenje Slovenije Koristne povezave | Kontakt | Varstvo podatkov | Pravna pojasnila | O avtorjih | Izdelava spletnih strani Revolver